Răng khấp khểnh

Răng khấp khểnh
Ngày đăng: 14/12/2023 11:47 PM

Bài viết liên quan

14/12/2023
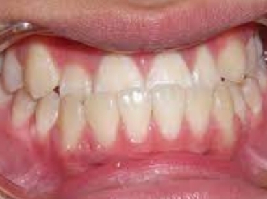
Răng hô (răng vẩu) là một dạng sai lệch về khớp cắn khiến cho tỷ lệ tương quan giữa hàm trên với hàm dưới có sự sai khác. Hệ quả của tình trạng ấy chính là phần hàm trên bị nhô ra nhiều hơn so với phần hàm dưới. Đây chính là một dạng sai lệch khớp cắn gây ra nhiều rắc rối từ yếu tố thẩm mỹ cho đến khâu nhai nuốt.
Zalo
Hotline: 0909 294 922